Cazuri Beres Dent
Cabinet Stomatologic Drumul Taberei
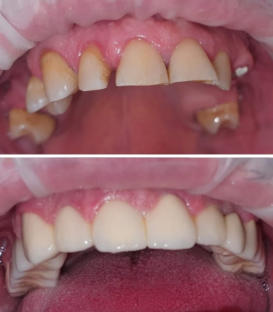
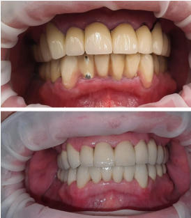
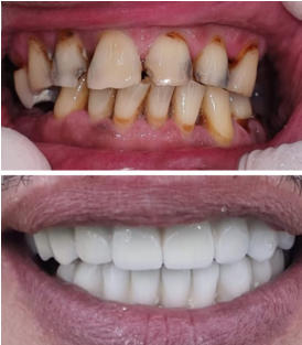
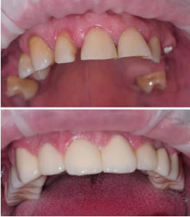
Pacienta a beneficiat de o lucrare totala fixa din ceramica pe suport de ZIRCONIU.
Pacienta a beneficiat de o lucrare metalo-ceramica frontal inferior + inlocuit lucrare veche lateral superior.
Pacientei i-a fost schimbata lucrarea din metalo-ceramica cu o lucrare din ceramica pe suport de ZIRCONIU + o proteza flexibila superioara partiala (lateral).
Pacientul a beneficiat de o lucrare din ceramica pe suport de ZIRCONIU pentru grupul frontal (linia zambetului).
Pacientul a beneficiat de o lucrare din metalo-ceramica pentru partea superioara.
Pacientul a beneficiat de o lucrare din ceramica pe suport de ZIRCONIU pentru grupul frontal superior si o lucrare inferioara din metalo-ceramica.
Pacienta a beneficiat de o lucrare din metalo-ceramica pentru zona frontala superior + inferior.
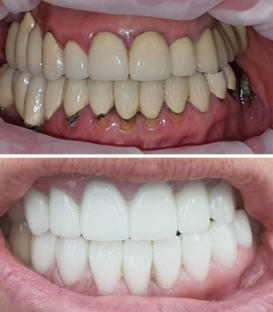
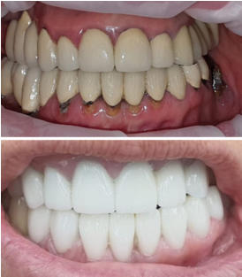
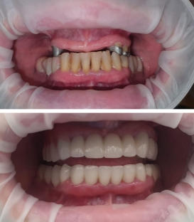
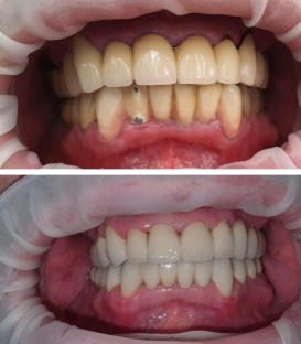
Pacientul a beneficiat de o lucrare totala fixa din metalo-ceramica.
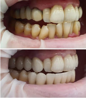
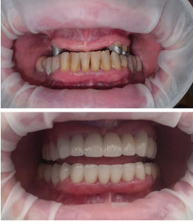
Pacientul a beneficiat de o lucrare totala fixa din metalo-ceramica.
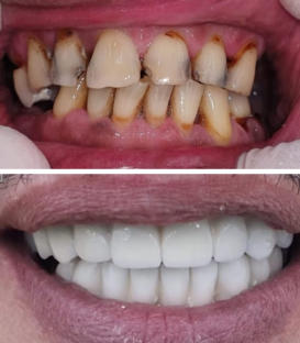
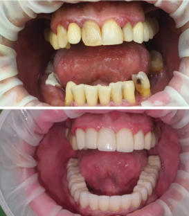
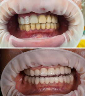
Pacienta a beneficiat de o lucrare totala fixa din metalo-ceramica.
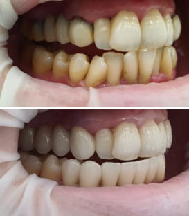
Pacienta a beneficiat de o lucrare din metalo-ceramica pentru zona frontala superior
Pacientul a beneficiat de o lucrare totala fixa din metalo-ceramica
Pacienta a beneficiat de o lucrare din metalo-ceramica frontal superior + o proteza partiala flexibila lateral superior si total metalo-ceramica inferior
Pacientul a beneficiat de o lucrare totala fixa din metalo-ceramica
Pacienta a beneficiat de o lucrare totala fixa metalo ceramica
Pacienta a beneficiat de o lucrare fixa totala din metalo-ceramica
Pacienta a beneficiat de o lucrare fixa totala din metalo-ceramica
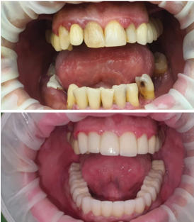
Pacienta a beneficiat de doua proteze totale PRINTATE (super fizionomice)
Pacienta a beneficiat de doua proteze partiale Valplast (flexibile) si un dinte fix din zirconiu